Devoted to
CARDIO THORACIC AND VASCULAR SURGERY
by
Dr AVINASH DAL
Medicover Hospital
7-1-21, Railway Station Rd, opp. Metro Station Begumpet, Uma Nagar, Begumpet,
Hyderabad, Telangana 500016
India
ph: +91 9848025467
bestcard
ENDOVASCULAR AORTIC REPAIR [EVAR] is a new modality that is available with is cardiovascular surgeons.We place a stent graft inside the main vessel instead of doing open surgery.
Picture of the infraabdominal aortic aneurysm repair using a bifurcation graft to give proper flow to both the iliac arteries is shown below
Before and after repair
Recently, (October 2016) we have been able to perform total aortic debranching of the thoraco-abdominal aorta and then perform an EVAR . In this case, the complete branches to the abdominal organs were bypassed from bilateral iliac arteries. The arteries bypassed were the Coeliac, superior mesenteric, left hepatic, abberant right hepatic artery and both renal arteries. This is termed as Aortic debranching operation.The patient is doing well
DIALYSIS ACCESS FOR CHRONIC RENAL FAILURE PATIENTS
It is very important that vascular access for hemodialysis patients is achieved so that their dependency on indwelling intravascular catheters comes down. These catheters are associated with higher incidence of major vein thrombosis as well as of introduction of infection. The usual sites of AV fistula formation is shown below. It must be remembered that creation of AV fistula is a service that has to be rendered albeit being in busy practice
VASCULAR SURGERY
Although this unit does a lot of standard peripheral vascular surgery such as creation of AV fistulae and Varicose veins endovascular ablation, we are more specialised in handling aortic surgery especially aneurysms of aorta. The unit has a large experience in Aortic root surgery (Bentall de Bono surgery) as well as we have performed a couple of Tirone David II operations (valve sparing aortic root replacements)
We are very confident in handling the vascular surgical methods due to our experience in aortic surgery
SMOKING AND VASCULAR SURGERY
TOBACCO IS THE ENEMY OF YOUR BLOOD VESSELS
Nosteredamus described various persons responsible for the World Wars as Anti-Christ. We consider SMOKING and USE OF TOBACCO AS ANTI-VASCULAR. If the patient is actively smoking, it is better not to undergo any form of elective vascular intervention or else the repair is bound to fail soon. In emergency cases, we may dilute this contraindication.
This is the policy that we learnt from the Sree Chitra Tirunal Institute for Medical Sciences and Technology, Thiruvananthapuram, India which is the alma mater for Dr Avinash Dal
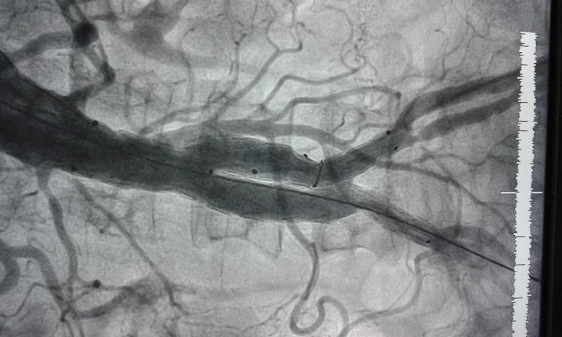
ENDOVASCULAR REPAIR OF AORTIC ANEURYSM
We have successfully treated the aneurysm of aorta with endovascular technique [ without opening the chest or abdomen] and have managed 8 cases with such problems as shown below
The above is the aneurysm and below is the scan after repair
Copyright Dr Avinash Dal. All rights reserved.
Medicover Hospital
7-1-21, Railway Station Rd, opp. Metro Station Begumpet, Uma Nagar, Begumpet,
Hyderabad, Telangana 500016
India
ph: +91 9848025467
bestcard