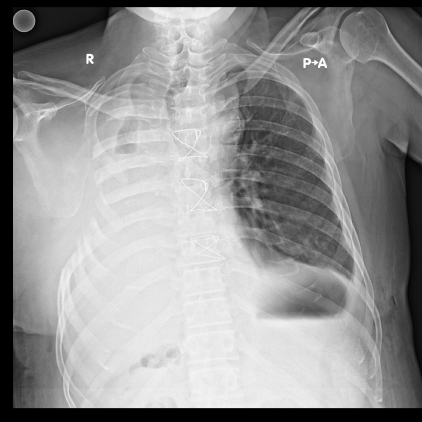
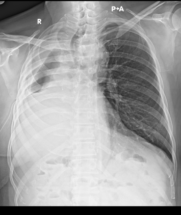
BEST CARDIAC SURGERY – VATS [THORACOSCOPY] & GENERAL THORACIC SURGERY

BEST CARDIAC SURGERY

 

Devoted to

CARDIO THORACIC AND VASCULAR SURGERY

 

by 

Dr AVINASH DAL

Medicover Hospital
7-1-21, Railway Station Rd, opp. Metro Station Begumpet, Uma Nagar, Begumpet,
Hyderabad, Telangana 500016
India

ph: +91 9848025467

Copyright  Dr Avinash Dal. All rights reserved.


Medicover Hospital
7-1-21, Railway Station Rd, opp. Metro Station Begumpet, Uma Nagar, Begumpet,
Hyderabad, Telangana 500016
India

ph: +91 9848025467

Scroll to Top